
통풍은 요산이 체내에 과도하게 쌓이면서 발생하는 질환으로, 주로 관절에 염증과 통증을 일으킵니다. 초기 증상을 놓치면 만성 통풍으로 진행될 수 있어 조기 발견과 관리가 중요합니다. 이 글에서는 통풍의 초기 증상, 진단 방법, 예방법, 치료법을 알기 쉽게 정리해드리겠습니다.

통풍이란 무엇인가요?
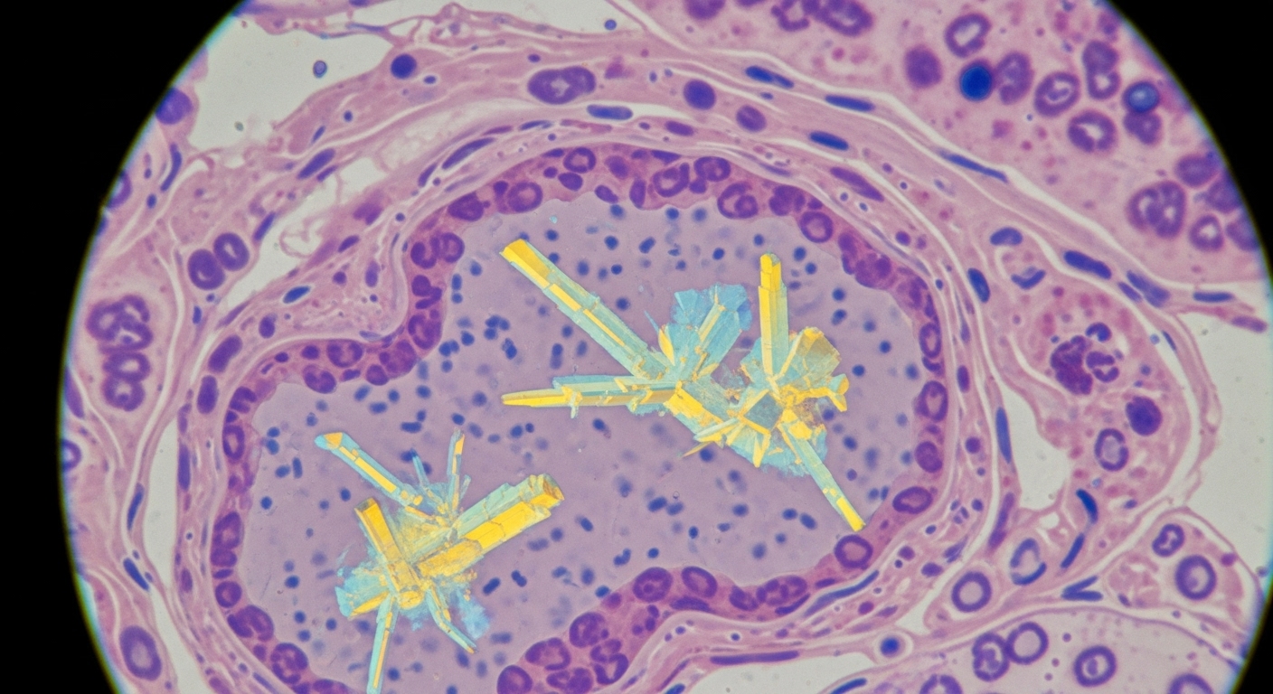
통풍은 요산이 혈액에 과다하게 축적되거나 배출이 잘 안 되어 관절이나 주변 조직에 요산 결정이 쌓이는 질환입니다. 요산 결정은 주로 발, 특히 엄지발가락 관절에서 염증을 일으키며 심한 통증을 유발합니다. 통풍은 누구나 걸릴 수 있지만, 남성, 특히 30~50대에서 더 흔히 나타납니다. 가족력, 식습관, 비만, 특정 약물 복용 등이 위험 요인으로 알려져 있습니다.
통풍의 초기 증상
통풍의 초기 증상은 갑작스럽게 시작되며, 주로 밤이나 새벽에 증상이 심해집니다. 아래는 통풍의 대표적인 초기 증상입니다.
1. 관절의 심한 통증
통풍의 가장 흔한 초기 증상은 특정 관절, 특히 엄지발가락 관절에서 느껴지는 날카로운 통증입니다. 이 통증은 보통 몇 시간 안에 최고조에 달하며, 관절이 욱신거리고 뜨거운 느낌이 들 수 있습니다.
2. 관절 부기와 발적
염증이 생긴 관절은 붓고 빨갛게 변합니다. 피부가 팽팽해지며 열감이 느껴질 수 있습니다. 특히 엄지발가락, 발목, 무릎 관절에서 이런 증상이 자주 나타납니다.
3. 관절의 뻣뻣함
통풍 발작이 시작되면 관절이 뻣뻣해지고 움직이기 어려워집니다. 신발을 신거나 걷는 것조차 힘들어질 수 있습니다.
4. 전신 증상
드물게 초기 통풍은 미열, 피로감, 전신 불쾌감 같은 증상을 동반할 수 있습니다. 이는 염증 반응이 몸 전체에 영향을 미치기 때문입니다.

통풍 진단 방법
통풍은 증상만으로 진단하기 어려울 수 있으므로 정확한 검사가 필요합니다. 아래는 통풍 진단에 흔히 사용되는 방법들입니다.
1. 혈액 검사
혈액 내 요산 수치를 측정해 고요산혈증 여부를 확인합니다. 하지만 요산 수치가 정상이라도 통풍이 발생할 수 있으므로 이 검사만으로 확진하지는 않습니다.
2. 관절액 검사
의사가 염증이 생긴 관절에서 액체를 채취해 현미경으로 요산 결정을 확인합니다. 이는 통풍을 확진하는 가장 정확한 방법입니다.
3. 영상 검사
X-ray, 초음파, CT를 통해 관절 손상이나 요산 결정 침착 여부를 확인할 수 있습니다. 특히 초음파는 요산 결정이 쌓인 부위를 감지하는 데 유용합니다.
4. 병력 및 증상 평가
의사는 환자의 가족력, 식습관, 음주 습관, 약물 복용 이력 등을 종합적으로 평가해 진단에 도움을 받습니다.

통풍 예방법
통풍은 생활습관 개선으로 예방 가능성이 높습니다. 아래는 실천 가능한 예방법입니다.
1. 식습관 관리
- 퓨린 함량이 높은 음식 피하기: 간, 멸치, 정어리, 고등어, 붉은 고기 등은 요산을 증가시킬 수 있습니다.
- 채소와 과일 섭취: 비타민 C가 풍부한 과일(예: 오렌지, 딸기)은 요산 배출을 돕습니다.
- 저지방 유제품: 저지방 우유나 요거트는 요산 수치를 낮추는 데 효과적입니다.
2. 적정 체중 유지
비만은 통풍 위험을 높입니다. 꾸준한 운동과 균형 잡힌 식단으로 체중을 관리하면 요산 수치를 낮출 수 있습니다.
3. 충분한 수분 섭취
하루 2~3리터의 물을 마셔 요산이 소변으로 배출되도록 돕습니다. 특히 알코올, 특히 맥주는 요산 수치를 높일 수 있으므로 섭취를 줄이는 것이 좋습니다.
4. 스트레스 관리
스트레스는 통풍 발작을 유발할 수 있습니다. 명상, 요가, 충분한 수면으로 스트레스를 관리하세요.

통풍 치료 방법
통풍 치료는 급성 발작 관리와 장기적인 요산 수치 조절로 나뉩니다. 아래는 주요 치료법입니다.
1. 급성 통풍 발작 치료
- 비스테로이드 항염증제(NSAIDs): 이부프로펜, 나프록센 등은 통증과 염증을 줄이는 데 효과적입니다.
- 콜히친: 통풍 발작 초기에 사용하면 염증을 빠르게 억제할 수 있습니다.
- 스테로이드: NSAIDs나 콜히친이 효과 없거나 부작용이 있을 경우 프레드니손 같은 스테로이드를 처방받을 수 있습니다.
2. 장기적인 요산 수치 관리
- 알로푸리놀 또는 페북소스타트: 요산 생성을 억제하는 약물로, 만성 통풍 환자에게 처방됩니다.
- 요산 배출 촉진제: 프로베네시드 같은 약물은 요산 배출을 증가시킵니다.
- 정기적인 검사: 요산 수치와 신장 기능을 주기적으로 확인해 약물 효과를 모니터링합니다.
3. 생활습관 개선
약물 치료와 함께 식이 요법, 체중 관리, 금주 등 생활습관 개선이 필수입니다. 이는 통풍 재발을 줄이고 합병증을 예방하는 데 큰 역할을 합니다.

통풍 관리의 중요성
통풍은 단순한 관절 통증이 아니라, 방치하면 신부전, 요로결석, 심혈관 질환 같은 합병증으로 이어질 수 있습니다. 초기 증상을 인지하고 빠르게 대처하면 증상을 완화하고 삶의 질을 높일 수 있습니다. 통풍 의심 증상이 있다면 반드시 전문의를 찾아 정확한 진단과 치료를 받으시길 권장합니다.
마무리
통풍은 조기 발견과 꾸준한 관리가 핵심입니다. 초기 증상을 잘 파악하고, 건강한 식습관과 생활습관을 유지하며, 필요 시 약물 치료를 병행하면 통풍을 효과적으로 관리할 수 있습니다. 건강한 삶을 위해 지금 바로 작은 변화를 시작해보세요!
올드카 테핏 소음이 나면 꼭 교체해야 할까?
올드카를 운행하는 분들께 자주 들리는 질문 중 하나는 바로 "테핏 소음이 들리면 꼭 교체해야 하나요?"입니다. 테핏 소음은 엔진에서 나는 특유의 '딸깍딸깍' 소리로, 올드카 운전자라면 한 번
beautyman.life
커피 수면장애 극복방법 몇시까지 마셔도 될까? 건강하게 즐기는법 총정리
커피는 많은 사람들이 사랑하는 음료입니다. 아침을 깨우고, 피로를 달래며, 집중력을 높이는 데 도움을 주죠. 하지만 카페인 때문에 수면장애를 겪는 분들도 많습니다. 이 글에서는 커피가 체
beautyman.life
제습기 없이 습도 낮추는 방법 5
습도가 높은 환경은 집 안을 불쾌하게 만들고, 곰팡이와 악취를 유발할 수 있습니다. 제습기가 없더라도 간단한 생활 습관과 도구를 활용해 습도를 효과적으로 낮출 수 있습니다. 이 글에서는
beautyman.life
매일 머리 감으면 탈모 올까? 탈모 올바른 머리 감는 방법
탈모는 많은 분들이 걱정하는 주제 중 하나입니다. 특히 “매일 머리 감으면 탈모가 올까?”라는 질문은 흔히 들어보셨을 겁니다. 이 글에서는 확인된 사실을 바탕으로 매일 머리 감는 것과 탈
beautyman.life
자위 많이하면 빨리 늙는다? 자위에 관한 속설과 의학적 사실 총정리
자위에 대해 많은 사람들이 궁금해하지만, 정확한 정보를 찾기 어려운 경우가 많습니다. 특히 "자위하면 빨리 늙는다"는 속설은 오랜 시간 사람들 사이에서 떠돌며 불안감을 조성해 왔습니다.
beautyman.life